11月29日,国内首批All-on-4全口种植资质专家——李志峰院长限时亲诊,效果与安心双重保障,助您种好牙享口福
11月29日
专家亲诊

牙齿缺失想种牙,却被告知“种不了”?四处打听,就想找个经验丰富的好专家?
11月29日,国内首批All-on-4全口种植资质专家——李志峰院长亲临坐诊,依托先进的数字化种植技术,彻底解决缺牙困扰,让您种得安心、用得放心。
11.29
亲诊
26年深耕
精研疑难复杂种植
从业26年,李志峰院长从独立接诊到成为公立医院种植中心负责人,从多次出国交流深造到带学生、带团队,他一直稳稳地在种植牙行业深耕。

李志峰院长尤其擅长半口/全口种植、即刻负重等疑难复杂手术,始终致力于通过先进技术帮助患者高效、精准重建口腔健康,恢复咀嚼功能。
为了紧跟国际前沿并不断精进医术,他多次出国前往德国海德堡大学、法兰克福大学等德国口腔院校交流口腔种植前沿技术。

作为国内首批All-on-4全口种植资质专家,李志峰院长还曾受邀到访有着数十年口腔研究历史的德国门登特斯医学科学研究中心,为攻克高龄疑难种植提供大量的临床实践数据和技术支持。

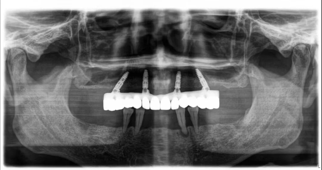
✅无需植骨:无需植骨粉骨膜,4-6颗植体就能恢复半口牙
✅缩短周期:无需翻瓣,避免多次手术与漫长等待
✅即种即用:实现“当天种牙,当天用牙”,快速恢复咀嚼功能
如今,李志峰院长已经成功完成了数千例高难度种植手术。
无论是高龄种植、骨量不足、高血压糖尿病等慢病群体种植,还是复杂条件下的即刻种植,他都能凭借精湛技术制定出安全稳妥的种植方案,帮助患者重获好牙。

11.29
亲诊
即种即用
当天恢复咀嚼功能
62岁的高叔叔,被牙周炎折磨了十几年。牙龈反复出血、牙齿渐渐移位、不时发作的牙痛...最终,牙齿一颗颗松动脱落,全口只剩下7颗牙。
更无奈的是,长期佩戴活动义齿,又让叔叔仅剩的几颗牙齿牙根暴露,摇摇欲坠。

面对这样的困境,高叔叔开始了漫长的寻医之路——寻找一位值得信任的医生,一份适合自己的修复方案。
终于,带着期待和憧憬,高叔叔找到了李志峰院长。
经过专业、严谨的评估,李志峰院长为高叔叔量身定制了专属种植方案:上颌进行all-on-4手术,即刻负重;下颌佩戴临时活动义齿两颗,待上颌恢复后再进行种植。

手术中,李志峰院长凭借专业、娴熟的技术,结合国际领先的数字化种植体系,以微米级的精准定位,实现了微创、安全、无痛的种植。整个过程创口小、时间短,大大减轻了患者的身体负担。
同时,为了保障高叔叔术中的安全,医疗团队全程进行心电监护,实时关注并调整血压变化。

术后仅2小时,高叔叔便成功戴牙,即刻恢复了咀嚼功能。他说:“以前特别喜欢啃猪蹄,自从牙坏了就很少吃了,这次做完手术要把这几年吃不了的东西都吃个遍。”
11.29
亲诊
亲诊限时预约
为疑难种植保驾护航
11月29日,国内知名种植专家——李志峰院长亲诊海德堡联合口腔,通过精准、高效、舒适的数字化种植技术,力求带给您更稳定、更舒适的种植效果。
如果您正被缺牙问题困扰,或者对口腔种植有任何疑问,现在均可报名预约。亲诊时间有限,名额稀缺,建议您尽快预约。
版权声明
本文仅作者转发或者创作,不代表旺旺头条立场。
如有侵权请联系站长删除
旺旺头条


发表评论:
◎欢迎参与讨论,请在这里发表您的看法、交流您的观点。