一面“过期”锦旗 记录守护的347天


病例介绍

2023年秋天,在一条车水马龙的繁忙街道上,一场突如其来的车祸犹如晴天霹雳,瞬间击碎了一个家庭的宁静与幸福。受害者是一位年逾古稀、本应安享晚年的老人。当老人被紧急送到四川宝石花医院时,已处于脑疝状态,情况十分危急。十几位心急如焚的家属紧跟在医护人员身后,护送着老人一路狂奔。
根据患者情况,神经外科医生王丽当机立断,与家属沟通病情:“患者此刻只有立即手术抢救才可能博得一线生机,如果家属同意,我们立刻开启急诊绿色通道手术。”在这关键时刻,家属果断放弃转院想法,决定手术。

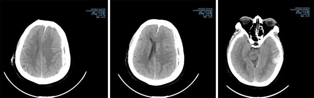
术前脑疝、急性硬膜下血肿、脑内血肿形成
第一次手术,时间就是生命,每一秒的流逝都紧紧牵动着全家人的心弦。神经外科医生团队凭借着丰富的经验和冷静的判断,迅速制定出详尽的手术方案,并以最短的速度将老人从死神的魔掌中奋力夺回。

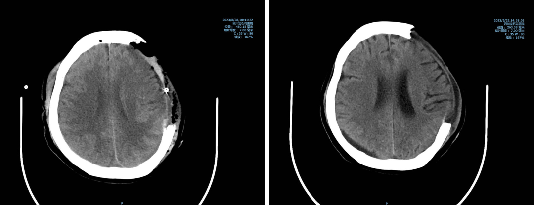
第一次术后脑疝解除,脑内血肿清除,去骨瓣减压成功
然而,老人因车祸导致全身多处内脏损伤、骨折,随后在医院多专业医护人员的齐心协力下,又相继经历了创伤后重症肺炎呼吸机救治、脓毒血症、低蛋白血症、大量胸腔积液、腹腔积液、植入物局部排异等重重难关。
可谓是关关难过,关关过。吴婆婆因病情起伏变化,总共经历了三次开颅手术,每一次手术,每一条诊疗策略都是对医生技术、体力与决策的考验,更是对医患双方信任的考验。
四川宝石花医院神经外科的医护团队始终保持着高度的责任心与使命感,夜以继日地守在吴婆婆的病床旁。他们密切关注着老人的病情变化,如细心的哨兵观察着瞳孔的细微变化,精准地测量尿量,精心护理引流管,及时调整治疗方案,力求针对老人的具体情况,每一步都走得沉稳而有效。

出院前,颅内情况良好,完成自体颅骨修补
终于,在医患双方的共同努力下,老人奇迹般地康复了。她重新站了起来,不仅身体机能逐渐恢复,更重要的是,那份对生活的热爱与向往也如星星之火般重新焕发出光彩。而今日,患者的泪水与家属的笑容交织在一起,这不仅仅是对医生们辛勤付出的肯定与感激,更是对生命奇迹的无限感慨与敬畏。


当好“护花使者” 四川宝石花医院荣获国家级“F·PAC”证书

版权声明
本文仅作者转发或者创作,不代表旺旺头条立场。
如有侵权请联系站长删除
旺旺头条



发表评论:
◎欢迎参与讨论,请在这里发表您的看法、交流您的观点。