一刷牙就出血?一个巨巨巨危险的信号,再不管就晚了
你有过这样的经历吗?
早上起来刷牙,吐出的泡沫里带着一点刺眼的红色;或是啃一个苹果,总是会留下一排血印?
大多数人的第一反应是:“唉,又上火了?”
然后就开始喝凉茶、换最贵的软毛牙刷,小心翼翼地避开出血的地方。

图片来源:视觉中国
但今天,我必须严肃地告诉你:不要再用“上火”来搪塞你的牙龈了。
从现代口腔医学的角度来看,反反复复、持续的牙龈出血,其实是你的口腔发出的“报警”信号,在明确地告诉你:你的牙龈在发炎!
而这一切的幕后黑手往往是:
牙菌斑!
你的嘴巴里
住着一群“隐形破坏者”
要理解牙龈为什么会无缘无故地发炎、出血,我们得先来认识一下——牙菌斑。
我们把它想象成一个在你牙齿表面“安营扎寨”的细菌社区,里面是非常多的细菌、食物残渣和唾液,黏糊糊地、紧紧地附着在牙齿表面、牙缝间和牙龈边缘。
无时无刻都在嚣张的牙菌斑们
↓↓↓

它们的繁殖能力十分惊人,在你刷完牙的几分钟内,它们就会卷土重来;12 小时后,就能从“社区”发展成一个颇具规模的“部落”。
图片来源:视觉中国
如果你没有及时、彻底地把它清除掉,“破坏四部曲”就来了。
阶段一:社交尴尬——口臭来了
口臭是牙菌斑刷存在感的第一步,里面的厌氧菌们,碰上了食物残渣,就会产生一些挥发性的硫化物,味道有点像臭鸡蛋。
这是口臭的根源之一,让你明明认真刷牙,没多久嘴里却又开始不清爽。
显微镜下的牙菌斑,啊啊啊怪恶心的
↓↓↓

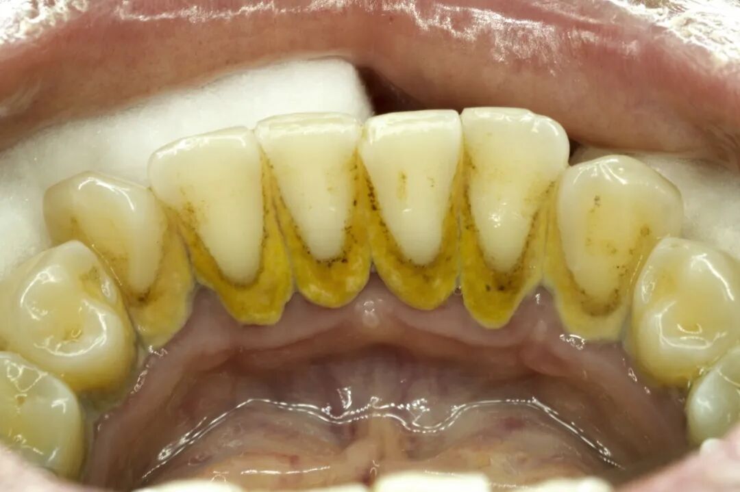
第二阶段:“顽固钉子户”——牙结石
牙菌斑这个黏糊的“软垢”,如果在你牙齿上停留超过 24~48 小时,它们会被唾液里的矿物质钙化,升级成石头一样坚硬的牙结石。
它的表面比牙齿本身更粗糙,就像一块磁铁,会吸附更多的牙菌斑,你的口腔清洁就会进入“困难模式”,“牙菌斑→牙结石→更多牙菌斑”的恶性循环就开始了。
图片来源:视觉中国
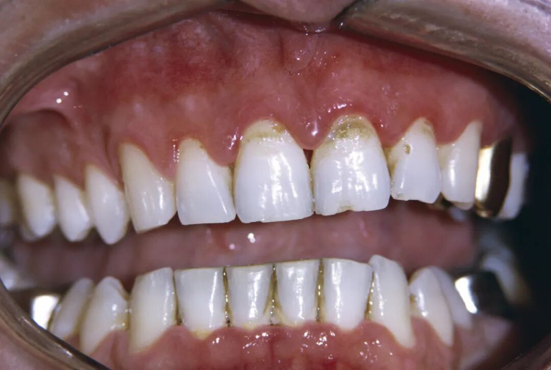
第三阶段:防线失守——牙龈炎
牙菌斑和牙结石在你的牙龈边上堆积起来后,它们会不断刺激牙龈,导致红肿、疼痛。
我们身体的免疫系统会派“军队”去应战,牙龈沟里开始“打仗”,表现出来就是牙龈炎——牙龈红肿、一碰就流血。

图片来源:视觉中国
第四阶段:动摇根基——牙周炎
炎症反反复复,等侵犯到支撑牙齿的牙周膜和牙槽骨,就会变成不可逆的牙周炎,慢慢就会开始牙龈萎缩、牙根暴露、牙缝变大,牙齿逐渐松动、移位,最终甚至脱落。
据统计,牙周炎已成为导致我国成年人牙齿丧失的首要原因。[1]

看到这里,你有没有一丝后怕?那一点点不起眼的血丝背后,竟还藏着一条吓人的“破坏链”。
那么,问题的核心就很明确了:口腔健康的关键,还在于从源头上科学、有效地控制牙菌斑。
牙菌斑克星:生物溶菌酶
从源头解决问题
平时我们刷牙、用牙线,是清除牙菌斑的一个基础。
如果已经牙龈出血,或想主动预防,就需要用更科学、更有针对性的方法,把出现的牙菌斑清除掉。
这里就不得不请出牙菌斑的克星——溶菌酶。
溶菌酶可以说是口腔里的“智能卫士”,我们的唾液里天然就存在,它能破坏细菌的细胞结构,让它们没法搞破坏和生长,“精准打击”牙菌斑。

但问题是溶菌酶会随我们年龄的增长而逐渐减少[2],稳定性还很差,休息不好、刷牙不干净、生病等等都会让生物溶菌酶的数量和质量变差,就不能每天彻底地消灭牙菌斑,怎么办?
那就请一个好外援吧——好易康改善牙龈问题溶菌酶牙膏。
-广告-

它跳出了传统牙膏“摩擦剂+起泡剂”的简单模式,添加了一种特别的成分——生物溶菌酶。
一天两次,协助自己嘴巴里的溶菌酶战队,完成每天清理牙菌斑的作战任务!

这款全网好评的好易康改善牙龈问题溶菌酶牙膏,可以称得上是口腔护理的“黑科技”产品,它用一种更温和、更高效、更安心的方式,从源头去瓦解牙菌斑,改善我们的牙龈问题。
专利生物溶菌酶成分
精准瓦解牙菌斑
既然早就知道生物溶菌酶可以杀死细菌,帮助破坏牙菌斑的结构,那为什么国内基本很少见到生物溶菌酶牙膏呢?
原因还是之前提到的,生物溶菌酶太娇气,太不稳定,所以太容易失活失效,还没出牙膏管,就已经“自杀”了,这还怎么“杀敌”呢?
好易康的科研团队历经多年的研发,终于攻克了”生物溶菌酶不稳定、易失活“这个难题,并把这个技术用在9号牙膏的生物溶菌酶配方里。

这项技术还获得了中国发明专利。
-上下滑动查看-

添加在9号牙膏的生物溶菌酶,是从鸡蛋清中提取的一种天然溶菌酶,它是一种有生物活性的特殊蛋白质,相对稳定又亲和人体,让入口的牙膏更放心。
活动期间单支只要40.8元
花一两杯咖啡/奶茶的钱,保护好自己的牙龈
省下几万治牙费用
买2支以上价格更优惠
确认收货后找客服,还可再领10元平台通用券
同时加送【牙刷】(多买多送)
-点击下图,立刻下单-

牙菌斑之所以顽固,是因为细菌会分泌一种叫做“葡聚糖”的多糖物质,把自己和同伴们牢牢地粘合在一起,并附着在牙齿上,形成一层坚固的生物膜保护壳。
普通牙膏的摩擦剂,就像用刷子去擦一面坚硬的墙,哪怕是严苛的巴氏刷牙法,清除的效率都是有限的。
显色部分就是残留在牙齿上的牙菌斑
↓↓↓

图片来源:视觉中国
但是添加在好易康9号的生物溶菌酶就像一个“拆迁专家”,它们会跟着泡沫深入清洁死角,直接瓦解牙菌斑的细菌结构。
再给你打个比方,生物溶菌酶不是用力去砸墙,而是直接溶解掉砌墙的“水泥”,精确拆除黏在牙齿表面这个“违章建筑”——牙菌斑。
“主力骑兵”给力,也需要强大的“步兵队伍”的支持。再一起来看看好易康9号的配方:
♦ 高效的水合硅石球形摩擦剂:不伤害牙釉质,又能把牙齿污垢刷干净;
♦ 焦磷酸四钠:阻止钙、磷沉积形成牙结石;
♦ 天然提取的甘草酸二钾:可以缓解牙龈的红肿、疼痛。

有这么强大的军队保驾护航,小小牙菌斑,轻松拿下。
从根本上切断了“破坏四部曲”的源头,牙菌斑、口臭、牙结石、牙龈等问题自然就能得到很好的改善。
既高效又温和,还避免了过度摩擦对牙齿和牙龈造成二次伤害,好易康9号,拿下。
活动期间单支只要40.8元
花一两杯咖啡/奶茶的钱,保护好自己的牙龈
省下几万治牙费用
买2支以上价格更优惠
确认收货后找客服,还可再领10元平台通用券
同时加送【牙刷】(多买多送)
-点击下图,立刻下单-

为什么好易康9号
这么值得信赖?
一款好的产品,不仅要讲得出原理,更要经得起检验。
一起来看看好易康9号都拿出了怎样的证据。
① 专利技术支持
再次晒出生物溶菌酶专利技术,专利号:ZL201710940410.8,好易康专业科研团队历经多年的钻研,它代表了生物科技在口腔护理领域的前沿应用。
-上下滑动查看-

② 真实的临床数据验证
我们从不空口说白话。
第三方权威检测机构在三甲医院进行了为期 12 周的人体临床功效试验,结果表明,和使用普通清洁牙膏的对照组相比,使用好易康9号生物溶菌酶牙膏的受试组:
95% 的受试者牙龈指数降低
97.5% 的受试者菌斑指数降低
95% 的受试牙结石指数降低
↓↓↓
(点击查看大图)

③ 百万忠实用户的认可
除了三甲医院的临床功效试验外,好易康9号还有一份消费者真实的使用试验报告。满屏的 100% 满意,让我不得不竖起大拇指。
100.00%的受试者认同这款牙膏对牙龈不适问题
(红热、肿痛、出血等)有改善
……
↓↓↓
(点击查看大图)

而且在好易康9号问市的这几年,已经积攒了一批忠实的口碑复购粉丝。
购买评价来源官方旗舰店
上下滑动查看
↓↓↓
活动期间单支只要40.8元
花一两杯咖啡/奶茶的钱,保护好自己的牙龈
省下几万治牙费用
买2支以上价格更优惠
确认收货后找客服,还可再领10元微医商城通用券
同时加送【牙刷】(多买多送)
-点击下图,立刻下单-

我适合用吗?
应该怎么用?
如果你正面临以下这些困扰,那么好易康9号牙膏就是为你量身定制的:
♦ 牙龈出血“困难户”:刷牙、啃苹果时,总能看到血丝;
♦ 口腔异味“社交难”:明明认真刷牙,但口气依然不清新,嘴里感觉黏腻;
♦ 牙龈红肿“敏感党”:牙龈边缘经常红肿、胀痛,一碰就难受;
♦ 牙周健康“预防者”:想要长期拥有健康的牙齿,提前积极预防和干预。
每天2次,击败牙菌斑
↓↓↓

对了,再给你一个高效使用好易康9号牙膏的Tips:
✅ 尝试“干刷”:挤出牙膏后,先不要蘸水,直接在嘴巴里开始刷。干刷可以最大程度保证酶的活性,对牙菌斑直接作用,效果更佳。
✅ 保证时长:每次刷牙请务必坚持 3 分钟,给溶菌酶足够的时间去分解牙菌斑。
✅ 重点清洁:重点关注牙齿与牙龈的交界处,以及牙齿的内侧和后臼齿区域,这些都是牙菌斑的“重灾区”。

我们为微医的粉丝们争取到了专属限时福利,用一个更轻松的门槛,开启你的专业牙龈护理之旅。
多买多省!官方旗舰店两支需要82.1元,现在微医只要75.9元,比旗舰店还便宜6.2元!买多支还送【牙刷】~

花一两杯咖啡/奶茶的钱,保护好自己的牙龈
省下几万治牙费用
活动期间单支只要40.8元
买2支以上价格更优惠
确认收货后找客服,还可再领10元微医商城通用券
同时加送【牙刷】(多买多送)
-点击下图,立刻下单-

牙齿要健康,一个“强韧”的牙龈很关键,千万不要等牙缝变宽、牙根暴露时才后悔没早点关心它。
从今天起,用好易康改善牙龈问题溶菌酶牙膏,给你的牙龈做一次科学、专业的深度SPA,从根源上解决问题,还自己一口好牙。

-广告-

参考文献

-广告-
⬇ 点击阅读原文,立即购买
版权声明
本文仅作者转发或者创作,不代表旺旺头条立场。
如有侵权请联系站长删除
旺旺头条











发表评论:
◎欢迎参与讨论,请在这里发表您的看法、交流您的观点。